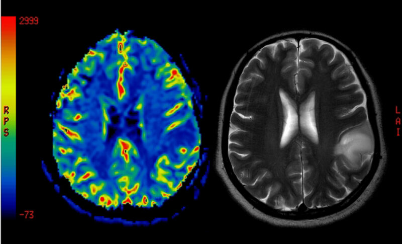
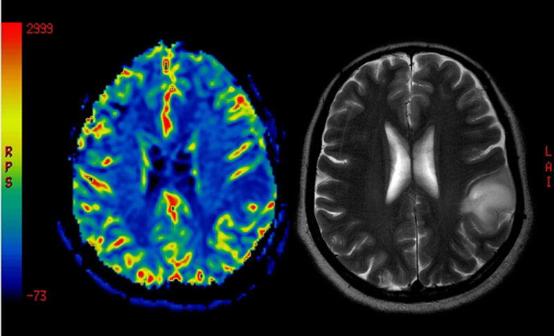
Treatment with the experimental nasal spray therapy foralumab reduced microglial activity in people with nonactive secondary progressive multiple sclerosis (SPMS), according to new data from an expanded access program. Microglia, the brain’s resident immune cells, are believed to contribute to the chronic inflammatory processes that drive gradual disease progression in the absence of relapses. These […]
The post Foralumab reduces microglial activity, inflammation in nonactive SPMS appeared first on Multiple Sclerosis News Today.
Source: multiplesclerosisnewstoday.com
